Long COVID Study Uncovers Alarming Trend
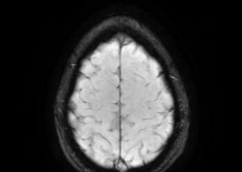
The young are suffering more than the old. Recent research has found that younger individuals suffering from Long COVID tend...
The young are suffering more than the old. Recent research has found that younger individuals suffering from Long COVID tend...
Worrisome Mutations Found In Flu Virus Canadian health authorities have reported a case of bird flu in a teenager from...
This is for COPD sufferers. A recent study from Danish researchers has revealed that daily vitamin B3 supplementation significantly reduces...
The future is now. A groundbreaking medical achievement was recently accomplished at NYU Langone Health in New York City, where...
Which Condition Is Caused By A Deficiency Of The Enzyme Lactase? Two common conditions affecting women during their childbearing years,...
It’s a nationwide recall. A Detroit-based meatpacking company, Wolverine Packing Co., is recalling over 167,000 pounds of ground beef due...
This is a surprising find. A recent international clinical trial reveals that a drug commonly used for weight loss and...
Science Reveals How To Avoid Dementia A new study from Sweden suggests that improving cardiorespiratory fitness (CRF) may help reduce...
There will be less hassle. A small, wearable patch, roughly the size of a postage stamp, may soon revolutionize blood...
There’s a safer and smarter way. After a head injury or fall, particularly in older adults, a dangerous accumulation of...